
Tobias ist mit 3 1/2 Jahren an einer recht seltenen Krankheit namens Hämophagozytose erkrankt.
Auf dieser Seite möchten wir um Ihre Unterstützung bitten. Denn eine Therapieform ist die der Stammzellentherapie. Grundvoraussetzung hierfür ist aber, dass geeignete Stammzellenspender zur Verfügung stehen.
Hier erfahren Sie mehr zur Erkrankung, zur Krankheitsgeschichte, aber auch wie Sie helfen können.
Für Ihr Interesse danken wir Ihnen im Namen von Tobias, aber auch persönlich schon jetzt recht herzlich.
Ruth Tellert-Weigand & Jürgen Weigand
Die Hämophagozytische Lymphohistiozytose (kurz HLH) ist eine äußerst
seltene, dann aber meist schwer verlaufende Erkrankung des Immunsystems. Aus diesem Grund sind auch nur wenige für den medizinischen Laien verständliche Informationen dazu im Internet zu finden. Wir wagen hier den Spagat, diese Erkrankung allgemeinverständlich zu beschreiben. Ein Teil der Informationen wurde dem Artikel in der Wikipedia entnommen. Weiterhelfen
beim Verständnis dieses Artikels konnten die Ausführungen von Frau Prof. Dr. Janka vom Universitätsklinikum Hamburg-Eppendorf (UKE), die den behandelnden Ärzten der Universitätsklinik Würzburg bei der Therapie von Tobias mit Rat zur Seite steht. Als Koordinatorin eines europäischen Projekts mit 9 Partnern aus 5 Ländern forscht sie an dieser Krankheit schon seit 30 Jahren und bezeichnet die Forschung daran selbst als eine Art Lebenswerk. Wir danken
Frau Prof. Dr. Janka recht herzlich für ihre Unterstützung bei der Aufklärung zu dieser Krankheit.
Das seltene Auftreten der HLH dürfte wohl der Grund sein, dass dieses Krankheitsbild nicht flächendeckend bei allen Ärzten bekannt ist. Es wird geschätzt, dass in Deutschland pro Jahr ca 140 Kinder unter 18 Jahren an HLH erkranken. Gerade beim Auftreten der
sekundären Fälle bei Erwachsenen ist mit einer hohen Dunkelziffer zu rechnen. Dennoch hat sich insbesondere bei Kinderärzten die sich mit Blut- und Krebserkrankungen beschäftigen das Wissen um dieses Krankheitsbild in den letzten Jahren deutlich erhöht.
Die HLH zeigt sich durch hohes Fieber, Vergrößerung von Leber und Milz -in seltenen Fällen auch der Lymphknoten, sowie Hautausschlägen und Ergüssen in den Bauchraum oder den Brustkorb. Sie sieht anfangs wie eine normale Infektion aus; wenn die Schwere der Blutbildveränderungen nicht beachtet wird und typische Laborwerte nicht bestimmt werden, kann man die HLH leicht übersehen. Erschreckend hoch ist die Sterblichkeitsrate mit 30-50% der Fälle. Diese Untersuchung zur Sterblichkeitsrate bei Kindern mit erworbener HLH bezieht sich auf eine Literaturrecherche von Frau Prof. Dr. Janka. Repräsentative Untersuchungen zur Sterblichkeitsrate bei Kindern, deren HLH frühzeitig diagnostiziert und nach aktuellen Erkenntnissen behandelt wird liegen noch nicht vor. Bei erblich bedingter HLH sterben die Kinder ohne entsprechende Behandlung immer.
Die HLH wird in zwei Verlaufsformen eingeteilt.
Die primäre Form ist immer vererbt, lässt sich aber nur schwer nachweisen, wenn nicht schon ein Geschwisterkind erkrankt war. Ist bisher kein Geschwister an HLH erkrankt, kann dieser Nachweis durch das Aufdecken eines Gendefekts erzielt werden. Erschwert wird dieser Nachweis jedoch dadurch, dass derzeit nur etwa die Hälfte der ursächlichen Gendefekte bekannt sind.
Sekundäre Formen werden ausgelöst durch infektiöse Errreger, meist Viren, Autoimmunerkrankungen und maligne Erkrankungen. Aber auch die primäre HLH wird meist durch infektiöse Erreger ausgelöst und kann somit dadurch nicht von der sekundären Form unterschieden werden.
Die zugrunde liegende Störung bei der HLH besteht in einer angeborenen oder erworbenen Unfähigkeit der Abwehrzellen mit infektiösen Erregern oder auch anderen Auslösern fertig zu werden. Dadurch kommt es zu einer Aktivierung von T-Zellen und
Makrophagen (sog. Fresszellen). Diese schütten eine Reihe von Botenstoffen (Zytokinen) aus und aktivieren sich gegenseitig. Da das Immunsystem jedoch unfähig ist, mit Erregern fertig zu werden, kommt es zu einer permanenten und maximalen Ausschüttung von Zytokinen. In der Wissenschaft wird dieser Vorgang bezeichnenderweise Zytokinsturm genannt. Es wird dadurch quasi die vollständige Mobilmachung des Abwehrsystems ausgerufen. Der Körper zerstört sich damit im Endeffekt selbst.
Das herausstechendste Symptom der HLH ist ein über mehrere Tage andauerndes Fieber über 38,5°C in Verbindung mit einer Vergrößerung der Milz oder der Leber. Alle weiteren Kriterien zur Bestätigung der Diagnose erfordern verschiedene Laboruntersuchungen. Dabei ist auf folgende Veränderungen zu testen: Verringerung der Zellzahl von mindestens zwei der drei
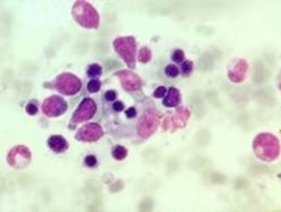
Zelllinien im Blut, Erhöhung der Blutfettwerte, Verringerung eines Gerinnungsfaktors (Fibrinogen), Erhöhung des Speicherstoffes für Eisen (Ferritin) und schließlich der Nachweis der Aufnahme und der Verdauung von Blutzellen (Hämophagozytose) durch die Fresszellen im Knochenmark, der Milz oder den Lymphknoten.
Wenn an eine HLH gedacht wird, sollten unbedingt auch spezielle Untersuchungen der Immunfunktion durchgeführt werden und diesbezüglich eine Kontaktaufnahme mit der HLH Studienzentrale in Hamburg erfolgen.
Wenig häufigere Symptome sind eine Vergrößerung der Lymphknoten, das Auftreten einer Gelbsucht, Wassereinlagerungen und
Hautausschläge, die als sekundäre Kriterien der HLH betrachtet werden. Ebenfalls auftreten können Nackensteife, Krampfanfälle und Lähmungen von Hirnnerven als Zeichen der Beteiligung des zentralen Nervensystems, erhöhte Leberenzymwerte, Verringerung der Gesamtmenge an Eiweiß im Blut und eine Verminderung des Salzgehaltes im Blut.
Bei beiden Formen der HLH gilt es zunächst, den Zytokinsturm zu dämpfen , um die gefährlichen Auswirkungen der Zytokine zu bremsen. Dies geschieht mit Medikamenten, die das Immunsystem dämpfen wie z.B. Cortison. aber auch mit Medikamenten, die Zellen zerstören und bei der Krebsbehandlung Anwendung finden. Wenn ein behandelbarer auslösender Erreger gefunden wird, muss dieser zusätzlich behandelt werden. Bei der primären Form der HLH muss dann eine Stammzelltransplantation erfolgen, um das defekte Immunsystem auszutauschen.

Freßzelle, die Blutzellen in sich hat - © Foto: UKE